La trisomie 21 concerne toutes les populations, sans distinction d’origine et de couleurs de peau. Pourtant, quand un enfant noir naît avec ce syndrome, les familles font face à une réalité plus complexe.
Synthèse rapide : les points clés à connaître
- La trisomie 21 est une anomalie chromosomique présente dans toutes les populations, sans exception
- Elle touche toutes les origines ethniques avec une fréquence estimée entre 1 naissance sur 700 et 1 sur 1 000 selon les pays.
- Les caractéristiques physiques du syndrome s’expriment différemment selon la pigmentation et les traits familiaux, ce qui peut compliquer le diagnostic clinique visuel.
- L’accès au dépistage et aux soins varie selon les pays et les contextes socio-économiques.
- Les personnes noires trisomiques font face à une double stigmatisation, le handicap d’un côté, la couleur de peau de l’autre qui réclame plus d’attention sociale et médicale.
Trisomie 21 : une pathologie génétique universelle

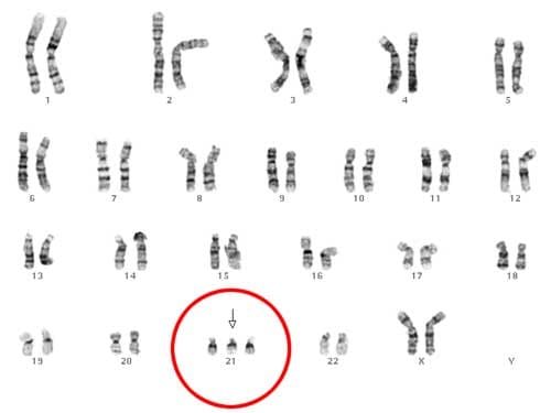
La trisomie 21 résulte d’une anomalie chromosomique qui modifie le développement de l’organisme. Chez la majorité des individus, chaque cellule du corps contient 46 chromosomes, organisés en 23 paires.
Dans le cas de la trisomie, la 21e paire comporte un chromosome supplémentaire, soit 47 chromosomes au total. Ce dernier modifie le développement physique et cognitif, à des degrés variables selon les individus.
Certains enfants présentent des complications médicales précoces, tandis que d’autres développent une autonomie importante grâce à un accompagnement adapté.
Les statistiques mondiales sur la trisomie 21
La trisomie 21 est un événement aléatoire, imprévisible, qui ne se transmet pas génétiquement de parents à enfants dans sa forme la plus courante. Il n’existe donc pas de « famille trisomique » au sens héréditaire classique du terme.
L’OMS estime l’incidence mondiale entre 1/700 et 1/1 000 naissances. En France, environ 500 bébés porteurs de trisomie 21 naissent chaque année selon la Fondation Jérôme Lejeune.
Le seul facteur de risque identifié reste l’âge maternel avancé. Cependant, la majorité des enfants trisomiques naissent de mères jeunes, simplement parce que les femmes jeunes accouchent davantage.
La trisomie 21 varie-t-elle selon l’origine ethnique ?
Une étude publiée dans le Journal of Intellectual Disability Research confirme que l’incidence de la trisomie 21 est pareille au sein de toutes les populations. Ce n’est donc pas la biologie qui varie selon l’origine ethnique, mais bien les conditions sociales, économiques et médicales dans lesquelles l’enfant grandit.
Caractéristiques physiques communes à toutes les personnes trisomiques

Peu importe l’origine, certains signes cliniques se retrouvent de manière constante chez les personnes porteuses de trisomie 21 :
- Hypotonie musculaire : un tonus musculaire faible, particulièrement visible à la naissance
- Yeux en amande avec présence d’un pli épicanthique
- Petite taille relative par rapport à la moyenne génétique familiale
- Pli palmaire unique (ou pli dit « simien »), présent dans environ 50 % des cas
- Traits faciaux spécifiques : profil plat, petits pavillons auriculaires, langue légèrement proéminente
Ces signes sont des indices cliniques, jamais des certitudes isolées. Le diagnostic repose toujours sur un faisceau d’observations, et non sur un trait unique.
Expression des traits chez les enfants noirs

Les traits de la trisomie 21 ne sont pas toujours visibles de la même façon chez un enfant noir. Certaines caractéristiques classiquement associées au syndrome, comme le nez légèrement épaté ou les lèvres pleines, font partie des traits ethniques naturels des personnes d’ascendance africaine. Elles ne constituent donc pas, chez eux, un marqueur distinctif de la trisomie.
De même, le pli épicanthique peut être moins immédiatement perceptible sur certains profils. En revanche, l’hypotonie musculaire reste le signe le plus constant et le plus fiable, quelle que soit la couleur de peau, c’est souvent lui qui alerte le pédiatre en premier.
Amara, maman d’un petit Elias né en 2021 à Lyon, témoigne : « À la maternité, personne n’a rien dit. C’est notre pédiatre de ville qui, à trois semaines de vie, a remarqué le tonus très faible d’Elias et un pli palmaire particulier. Le caryotype a tout confirmé. On m’a dit que chez les bébés noirs, les signes du visage peuvent passer inaperçus si le praticien n’est pas formé à ça. »
Ce témoignage pointe une réalité documentée par plusieurs professionnels de santé : la formation clinique reste trop souvent calquée sur des représentations caucasiennes.
Santé et développement : réalités médicales
Dépistage et confirmation diagnostique
Le diagnostic de la trisomie 21 s’établit soit avant la naissance (échographie, dépistage combiné, test ADN fœtal), soit après (signes cliniques). Dans tous les cas, le caryotype est indispensable pour confirmation.
L’observation physique seule ne suffit jamais. Chez les bébés à peau noire, le diagnostic postnatal est parfois retardé, car certains traits sont moins évidents et les outils de référence pédiatriques sont basés sur des populations caucasiennes.
Diversité des supports médicaux et iconographiques
Regardez attentivement les livrets de pédiatrie, les affiches de maternité, les guides pour parents d’enfants trisomiques. La quasi-totalité des images représentent des enfants blancs. Et cette absence de diversité dans les supports médicaux et éducatifs n’est pas anodine.
Elle affecte la formation des professionnels de santé, qui ne sont pas toujours exposés à la diversité des expressions cliniques selon les profils ethniques. Elle affecte aussi les familles noires, qui peinent parfois à s’identifier dans les ressources disponibles.
Un parent qui ne voit jamais un enfant qui ressemble au sien dans les brochures médicales peut se sentir seul face à une situation déjà éprouvante.
Disparités d’accès aux services médicaux
En France, les enfants trisomiques bénéficient d’une prise en charge à 100 % par l’Assurance Maladie (ALD) avec un accompagnement pluridisciplinaire (CAMSP, SESSAD). La situation diffère fortement en Afrique, où les structures spécialisées et les professionnels de rééducation manquent, laissant souvent les familles isolées.
Dans les diasporas africaines en Europe, de nombreuses familles ignorent leurs droits, craignent les institutions (peur du jugement, barrière de la langue) ou n’ont pas encore été correctement orientées vers les dispositifs d’aide.
Sous-diagnostic et suivi médical dans certaines régions
Le sous-diagnostic de la trisomie 21 en Afrique subsaharienne est difficile à évaluer, faute de registres nationaux et de dépistage prénatal systématique. Beaucoup d’enfants trisomiques n’ont pas de diagnostic formel, et sont invisibles dans les statistiques. Cette invisibilité se traduit par l’absence de politiques publiques, de structures et de prise en charge adaptées, surtout en zones rurales.
Enjeux sociaux et culturels
Une double stigmatisation : handicap et couleur de peau
Être noir et trisomique, c’est faire face à deux formes de discrimination. Le handicap est déjà source d’exclusion dans de nombreuses sociétés. La couleur de peau expose à des inégalités systémiques supplémentaires, dans l’accès aux soins
De nombreuses perceptions culturelles et tabous autour de la trisomie
Dans certaines communautés d’Afrique subsaharienne, la naissance d’un enfant handicapé peut être interprétée à travers le prisme de croyances spirituelles ou religieuses (une punition divine, un mauvais sort, un signe de malédiction familiale).
Ces représentations, bien que non universelles, exercent une pression considérable sur les parents, et particulièrement sur les mères. Le poids social peut conduire à l’isolement familial, au refus d’intégration scolaire, voire au rejet de l’enfant.
Pour cela, des familles choisissent de cacher l’existence de leur enfant pour protéger leur réputation au sein de la communauté.
Une sous-représentation dans l’espace public et médiatique
Les campagnes de sensibilisation autour de la trisomie 21, notamment celles du 21 mars, Journée mondiale, mettent en avant des visages. Rarement des visages noirs. Cette sous-représentation dans les médias et les campagnes entretient l’idée implicite que la trisomie est une condition « blanche », ce qui renforce encore l’isolement des familles noires concernées.
Changer le regard sur la trisomie et la diversité

Développement, apprentissage et autonomie
La trisomie 21 est un point de départ différent, avec un rythme d’apprentissage différent, mais un potentiel réel. Les personnes porteuses du syndrome peuvent apprendre à lire, à écrire, à compter. Elles peuvent suivre une scolarité adaptée, accéder à une formation professionnelle, vivre de manière semi-autonome ou autonome.
De plus, l’espérance de vie des personnes trisomiques est passée de 25 ans dans les années 1980 à plus de 60 ans aujourd’hui, grâce aux avancées médicales et à l’amélioration des conditions de vie.
Place de la famille et de l’environnement éducatif
La famille est le premier environnement dans lequel un enfant trisomique construit son identité. Un cadre stable, stimulant et bienveillant fait une grande différence sur les progrès cognitifs et moteurs. Les parents qui bénéficient d’un accompagnement dès les premiers mois obtiennent des résultats nettement meilleurs pour leur enfant.
L’école inclusive, quand elle est bien préparée, apporte elle aussi une contribution majeure. Un enfant trisomique scolarisé avec ses pairs, accompagné par un AESH et soutenu par des professionnels de rééducation, développe ses compétences sociales et langagières à un rythme que les structures ségrégatives ne permettent pas d’atteindre.
Acteurs engagés et dispositifs d’accompagnement disponibles
Associations en Afrique
Le tissu associatif africain autour de la trisomie 21 reste fragile, mais il existe des associations comme Triso&Vie au Cameroun ainsi que plusieurs ONG. Ces structures locales méritent une visibilité et des financements durables. Elles connaissent les réalités culturelles, parlent les langues locales et atteignent les familles que les grandes organisations ne peuvent pas toucher.
Réseaux d’accompagnement en France et en Europe
Pour les familles en France et en Europe, plusieurs structures de référence offrent un accompagnement sérieux :
- Trisomie 21 France : fédération nationale avec des associations dans chaque département, proposant suivi, formation et réseau
- Fondation Jérôme Lejeune : structure médicale et de recherche spécialisée dans les pathologies intellectuelles d’origine génétique
- UNAPEI : union nationale des associations de parents et amis de personnes handicapées mentales
- Collectifs inclusifs : structures militantes qui travaillent à l’inclusion scolaire, professionnelle et citoyenne des personnes en situation de handicap
Groupes de soutien et plateformes d’entraide
Des groupes Facebook privés rassemblent des milliers de parents d’enfants trisomiques, certains sont spécifiquement dédiés aux familles afro-descendantes ou aux diasporas africaines en Europe. Ces espaces permettent d’échanger des conseils pratiques, de trouver des professionnels recommandés et, surtout, de ne plus se sentir seul face à un diagnostic.
Bonnes pratiques pour accompagner un proche dans son développement
- Stimulation précoce : kinésithérapie, orthophonie et psychomotricité dès les premiers mois pour soutenir le développement moteur et langagier
- Suivi médical régulier : bilans thyroïdiens, cardiologiques et audiométriques à intervalles définis avec le pédiatre
- Inclusion scolaire : dès la maternelle, avec un projet personnalisé de scolarisation (PPS) adapté
- Soutien associatif : rejoindre une association permet de rompre l’isolement, d’obtenir des informations fiables et d’accéder à des ressources pratiques
- Encouragement de l’autonomie : laisser l’enfant faire par lui-même, même lentement, construit la confiance et les compétences plus efficacement que de faire à sa place
